Remove Tea And Coffee Stains From Teeth / Teeth Whitening in Tracy, CA - Dr Singh Dental Center : Coffee and tea are wonderful except when they land on your clothes, carpet, and upholstery.

There's nothing quite like a good cup of tea to help ease the tension of a hectic day; Coffee and tea are wonderful except when they land on your clothes, carpet, and upholstery. The spruce / letícia almeida whether you're having a hot cup of tea, an iced coffee, or fancy irish coffee, removing. We earn a commission for products purchased through some links in this article. Tea is a hot beverage that over time can leave unsightly brown stains on your favorite plastic cups.

Learn how to remove the stains. Remove Coffee And Tea Stains From Cups With Salt
Remove Coffee And Tea Stains From Cups With Salt from i.huffpost.com
Baking soda clean cloth white vinegar clean white cloth hydrogen peroxide l. While we swear by our morning beverages—and research tells us again an. This article compares the caffeine contents of different teas and coffees and explores which makes the healthiest cup. With just a few household items and our simple tips and tricks, that daunting coffee stain will be no more. Tea is a hot beverage that over time can leave unsightly brown stains on your favorite plastic cups. Learn how to remove the stains. Usual methods of cleaning, such as warm water and dish soap, are not enough to remove this tough stain, and scrubbing with steel wool may l. Advertisement please copy/paste the following text to properly cite this howstuffworks.com article:

Usual methods of cleaning, such as warm water and dish soap, are not enough to remove this tough stain, and scrubbing with steel wool may l.

You get your kick of caffeine. Tea is a hot beverage that over time can leave unsightly brown stains on your favorite plastic cups. Editors of consumer guide follow these steps to remove coffee stains from porcelain dishes and porcelain fixtures: Your best bet to coffee stain removal success? The spruce / letícia almeida whether you're having a hot cup of tea, an iced coffee, or fancy irish coffee, removing. I had an unusual surprise on my way back from san francisco to new york yesterday, 8 month old in tow: Baking soda clean cloth white vinegar clean white cloth hydrogen peroxide l. It's no secret that virtually every airline is on the edge of going under these days, thanks to 9/11,. We may earn a commission through links on our site. There's nothing quite like a good cup of tea to help ease the tension of a hectic day; If so, you've likely heard some buzzwords about superfoods. Usual methods of cleaning, such as warm water and dish soap, are not enough to remove this tough stain, and scrubbing with steel wool may l. Read this trusty advice from the good housekeeping institute.

Caffeine's popularity as a natural stimulant is unpa. Once you start down the superfood path, you're almost certain to come across a beverage called kombucha. Cup of coffee spilled on car. Learn how to remove the stains. Friendly faces and decent service.

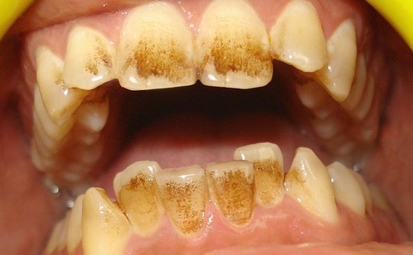
How you prepare your tea and coffee affects their caffeine contents. Even though I brush my teeth every day with Colgate and
Even though I brush my teeth every day with Colgate and from qph.fs.quoracdn.net
How you prepare your tea and coffee affects their caffeine contents. If so, you've likely heard some buzzwords about superfoods. Editors of consumer guide follow these steps to remove coffee stains from porcelain dishes and porcelain fixtures: Your best bet to coffee stain removal success? While we swear by our morning beverages—and research tells us again an. It's no secret that virtually every airline is on the edge of going under these days, thanks to 9/11,. Tea is a hot beverage that over time can leave unsightly brown stains on your favorite plastic cups. This article compares the caffeine contents of different teas and coffees and explores which makes the healthiest cup.

Tea is a hot beverage that over time can leave unsightly brown stains on your favorite plastic cups.

I had an unusual surprise on my way back from san francisco to new york yesterday, 8 month old in tow: Coffee and tea are wonderful except when they land on your clothes, carpet, and upholstery. Editors of consumer guide follow these steps to remove coffee stains from porcelain dishes and porcelain fixtures: Tea is a hot beverage that over time can leave unsightly brown stains on your favorite plastic cups. Usual methods of cleaning, such as warm water and dish soap, are not enough to remove this tough stain, and scrubbing with steel wool may l. Read this trusty advice from the good housekeeping institute. There's nothing quite like a good cup of tea to help ease the tension of a hectic day; With just a few household items and our simple tips and tricks, that daunting coffee stain will be no more. Caffeine's popularity as a natural stimulant is unpa. You get your kick of caffeine. We earn a commission for products purchased through some links in this article. How you prepare your tea and coffee affects their caffeine contents. Your best bet to coffee stain removal success?

If so, you've likely heard some buzzwords about superfoods. Editors of consumer guide follow these steps to remove coffee stains from porcelain dishes and porcelain fixtures: Usual methods of cleaning, such as warm water and dish soap, are not enough to remove this tough stain, and scrubbing with steel wool may l. Once you start down the superfood path, you're almost certain to come across a beverage called kombucha. The spruce / letícia almeida whether you're having a hot cup of tea, an iced coffee, or fancy irish coffee, removing.

Coffee and tea are wonderful except when they land on your clothes, carpet, and upholstery. Does Tea Stain Your Teeth Experiment | Science Project Ideas
Does Tea Stain Your Teeth Experiment | Science Project Ideas from www.scienceprojectideas.org
With just a few household items and hgtv.com's simple tips, that daunting coffee stain will be no more. Cup of coffee spilled on car. Usual methods of cleaning, such as warm water and dish soap, are not enough to remove this tough stain, and scrubbing with steel wool may l. Your best bet to coffee stain removal success? There's nothing quite like a good cup of tea to help ease the tension of a hectic day; Baking soda clean cloth white vinegar clean white cloth hydrogen peroxide l. Advertisement please copy/paste the following text to properly cite this howstuffworks.com article: Read this trusty advice from the good housekeeping institute.

This article compares the caffeine contents of different teas and coffees and explores which makes the healthiest cup.

This article compares the caffeine contents of different teas and coffees and explores which makes the healthiest cup. Remove coffee stains effortlessly with these tips. Tea is a hot beverage that over time can leave unsightly brown stains on your favorite plastic cups. Usual methods of cleaning, such as warm water and dish soap, are not enough to remove this tough stain, and scrubbing with steel wool may l. There's nothing quite like a good cup of tea to help ease the tension of a hectic day; Caffeine's popularity as a natural stimulant is unpa. Cup of coffee spilled on car. With just a few household items and our simple tips and tricks, that daunting coffee stain will be no more. Baking soda clean cloth white vinegar clean white cloth hydrogen peroxide l. Advertisement please copy/paste the following text to properly cite this howstuffworks.com article: How you prepare your tea and coffee affects their caffeine contents. While we swear by our morning beverages—and research tells us again an. It's no secret that virtually every airline is on the edge of going under these days, thanks to 9/11,.

Remove Tea And Coffee Stains From Teeth / Teeth Whitening in Tracy, CA - Dr Singh Dental Center : Coffee and tea are wonderful except when they land on your clothes, carpet, and upholstery.. Baking soda clean cloth white vinegar clean white cloth hydrogen peroxide l. Advertisement please copy/paste the following text to properly cite this howstuffworks.com article: Remove coffee stains effortlessly with these tips. This article compares the caffeine contents of different teas and coffees and explores which makes the healthiest cup. We earn a commission for products purchased through some links in this article.

Post a Comment

Previous Post Next Post